Operasi tidak akan mengatasi penyakit Anda!
Operasi tidak akan mengatasi penyakit Anda! Inilah cara tepat singkirkan nyeri lutut dan sendi yang parah selamanya hanya dalam 10 hari berdasarkan pengalaman saya.

Siang semua!
Saya bernama Raina Adriana. Hari ini saya ingin berbagi pengalaman saya menghadapi rasa sakit di lutut dan sendi, yang hampir membuat saya tidak bisa melakukan apa-apa, dan bagaimana saya mengobati penyakit yang saya rasakan sampai akhirnya sembuh sepenuhnya tanpa perlu operasi bedah!
Setelah menginjak usia 50 tahun, rasa sakit di sendi, punggung, terutama lutut, mulai mengganggu saya. Saya bekerja di bidang logistik, dan masalah punggung dan nyeri sendi adalah risiko yang pasti muncul karena pekerjaan kami. Punggung yang tegang, peradangan, terkilir, dan beban berat pada tulang belakang... Awalnya, saya tidak terlalu memperhatikan masalah ini, saya cuma mengoleskan salep pada lutut dan pinggang untuk meredakan nyeri. Saya mencoba menahan rasa sakitnya, karena saya harus tetap bekerja.
Setelah rasa sakit semakin tak tertahankan di pagi hari, saya membeli obat yang lebih kuat, bahkan saya meminta suami saya untuk memberi suntikan pereda nyeri agar saya setidaknya bisa bangun dari tempat tidur. Rasa sakit semakin sering menghantui. Suatu hari di tempat kerja, saya harus membantu rekan saya mengangkat sofa yang tidak terlalu berat. Saya mulai membungkuk, mengangkatnya, dan tiba-tiba lutut saya terasa nyeri, saya hanya berbaring di lantai dan tidak bisa bergerak. Saya akhirnya menelepon ambulans dan pergi ke rumah sakit.

Kondisi lutut saya kala itu. Rasa sakit yang kuat
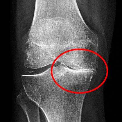
Di sana dokter melihat hasil rontgen cukup lama, kemudian menyampaikan bahwa saya tidak bisa melakukan pekerjaan fisik lagi dan mengangkat beban dengan berat lebih dari 2 kilo.

X-ray menunjukkan masalah serius dengan lutut saya
Tentu saja, saya sama sekali tidak bisa menerima penyakit ini begitu saja! Bagaimana mungkin saya bisa bekerja setelahnya? Saya sangat mencintai pekerjaan saya, seberat apapun itu. Pada akhirnya, saya memutuskan untuk berkonsultasi dengan dokter lain. Tetapi di sini, saya malah semakin ketakutan! Tanpa menjelaskan diagnosa dengan jelas, beliau langsung mengatakan bahwa saya akan cacat permanen jika tidak melakukan operasi pada lutut saya. Dan biaya operasinya hingga puluhan juta rupiah! Saya tidak memiliki uang sebanyak itu, jadi saya mendaftarkan diri untuk operasi dalam waktu satu setengah bulan ke depan, agar saya bisa mengumpulkan uangnya.
Dan pada saat itu saya teringat bahwa kenalan lama saya juga pernah memiliki masalah dengan lutut, sekitar setengah tahun yang lalu dia mengeluhkan masalah yang hampir sama. Saya memutuskan untuk meneleponnya dan bertanya bagaimana keadaannya. Di telepon, dia tidak banyak bercerita, dan kami memutuskan untuk bertemu di tempatnya.
Keesokan harinya saya mengunjunginya, begitu istrinya membuka pintu, semua orang terlihat menangis.
— Lho, ada apa?
— Suamiku meninggal! - berkata sambil menangis.
— Kok bisa? Umurnya baru 51 tahun, apa yang terjadi?
— Begini, setelah operasi penyakitnya kambuh, sakit pada lutut.
Saya kaget bukan main! Lalu saya bertanya bagaimana mereka mengobatinya dan obat apa yang dia minum. Ternyata, dari semua itu, tidak ada yang bisa membantu teman saya. Operasi telah dilakukan, tetapi setelah sebulan kambuh lagi dengan komplikasi.
Setelah kejadian itu, saya pernah tidak berani lagi pergi ke dokter, apalagi operasi. Kita tidak pernah tahu apa yang mereka resepkan, dan bisa saja memperburuk kondisi. Namun, menunda juga bukan pilihan, semakin lama ditunda, semakin buruk pula keadaan badan saya.
Saya mulai panik
Saya mulai lebih banyak berdiam diri di rumah. Hanya duduk sambil meminum obat penghilang rasa sakit, pikiran saya terus menerus dihantui rasa sakit yang saya rasakan. Saya sudah tidak punya lagi tenaga untuk bekerja. Bagaimana mungkin bekerja, ketika setiap detik disiksa oleh rasa sakit! Saya berusaha mencari pengobatan dari para dukun atau apapun itu - bahkan saya siap membaca mantra-mantra aneh asalkan tidak perlu operasi, atau bahkan lebih buruk, mengalami kecacatan!
Saya berusaha mencari solusinya di internet. Dan di salah satu forum, saya menemukan postingan seorang pria yang menceritakan bagaimana ia mengatasi masalah pada sendi. Tanpa operasi, suntikan, bahkan tanpa perlu minum pil untuk menyembuhkan rasa sakitnya. Dia hanya mengonsumsi satu bubuk ajaib! Bubuk tersebut sangat kuat, seperti yang dikatakan. Bubuk tersebut bernama - Rosel's.
Saya memutuskan untuk mencoba, harganya cukup terjangkau, dan komposisinya 100% alami. Di momen itu, saya sudah menghabiskan begitu banyak uang dalam upaya penyembuhan.
Saya menghubungi penulis pesan di forum dan bertanya di mana dia membeli bubuk tersebut. Ternyata, bubuk ini diproduksi hampir secara individu karena kompleksitas proses produksinya. Bubuk ini hanya dijual di situs web produsen itu sendiri, dan bahkan tidak selalu tersedia di sana karena permintaan atas produknya sangat tinggi.
Beruntungnya saya! Karena ketika saya ingin pesan produk bubuknya tersedia.
Jujur, saya tidak berharap bisa sembuh secara instan. Saya hanya ingin menunda operasi sebentar, karena jujur saya takut... Namun, setelah mengonsumsi Rosel's untuk pertama kalinya, rasa sakit yang menyiksa di lutut saya hilang dan saya bisa bangun dari tempat tidur tanpa perlu minum obat di pagi hari. Saya mulai merasa bahwa produk ini bisa menjadi penyelamat bagi saya.
Dengan teliti saya mulai membaca petunjuk dan langsung mengonsumsi Rosel's seperti yang dijelaskan di bungkusnya. Produknya sangat praktis, hanya perlu mencampur bubuk dengan segelas air. Saya minum minuman ini dua kali sehari: pagi dan malam. Produk ini sangat bermanfaat karena hanya terbuat dari bahan alami, dan rasanya enak sekali.

Mengonsumsi bubuk Rosel's sangatlah mudah
Bagaimana hasilnya?

Setelah malamnya minum Rosel's, paginya rasa sakit sudah hilang!
Rasa sakit yang menusuk langsung mereda.

Perbaikan kondisi saya mulai terasa setelah mengonsumsi bubuk itu untuk pertama kalinya
Setelah 3 hari, saya bisa pergi jauh tanpa merasa tidak nyaman dan khawatir.

Saya tidak lagi menggunakan kursi roda untuk mobilitas saya
Setelah 10 hari, rasa sakit di tangan, punggung, dan lutut hilang sepenuhnya.

Sekarang saya bisa kembali berolahraga
Pada minggu ketiga pengobatan, saya bahkan tidak ingat kalau saya pernah mengalami masalah sendi.

Saya kembali hidup sepenuhnya tanpa rasa sakit pada lutut
Meskipun hasilnya luar biasa, saya tidak langsung menghentikan penggunaan produk ini dan melanjutkan penggunaan selama satu bulan penuh untuk menghindari kembalinya rasa sakit.
Setelah itu, saya memeriksakan diri ke dokter, dan dia sangat terkejut! Dokter berkata saya sudah tidak perlu lagi operasi, sendi-sendi saya menjadi sehat! Saya kehilangan kata-kata untuk menggambarkan seberapa senangnya saya saat itu! Hati terasa lega luar biasa. Mereka yang telah terbebas dari penyakit ini pasti akan mengerti perasaan saya

Sekarang saya bisa kembali menikmati hidup bersama keluarga tercinta!
Saya berhasil menghindari operasi. Saya sudah tidak merasakan kambuh lagi dan takut menjadi cacat. Saya terbebas dari rasa sakit yang menyiksa! Sudah tiga tahun berlalu sejak kejadian itu, dan saya merasa luar biasa! Bahkan kini saya bisa kembali bekerja seperti biasa.

Berikut adalah kondisi lutut saya yang sehat saat ini
Andai saja saya tahu tentang solusi ini sejak awal!
Berkat produk Rosel's, saya KEMBALI SEHAT dan kini menjalani hidup dengan bebas. Masalah persendian telah hilang selamanya!

Seperti inilah penampilan bubuknya
Jadi, jika Anda mengalami masalah yang sama, jangan menunggu sampai semakin buruk! Ini bukanlah omong kosong belaka karena saya sendiri contohnya. Saya bersyukur sekali bisa memulihkan sendi, lutut, dan punggung hanya dalam waktu singkat! Semoga Anda juga mendapat hasil yang sama!
Jika Anda penasaran dengan produk yang sangat membantu saya, produk adalah bubuk untuk sendi bernama Rosel's.
Rosel's lebih efektif dari suplemen sendi lainnya

Suplemen Sendi Lainnya:
Mengandung bahan-bahan kimia;
Hanya menghilangkan gejala;
Efeknya sementara;
Tidak berdampak pada kulit;
Tidak mengubah kondisi rambut;
Tidak membantu menurunkan berat badan;
Dapat memicu reaksi alergi;
Harga mahal.

Rosel's
100% bahan alami;
Menyembuhkan sendi secara menyeluruh;
Efek yang bertahan lama;
Melembapkan dan mencerahkan kulit;
Memperbaiki dan memperkuat rambut;
Membantu menurunkan berat badan;
Tanpa efek samping;
Harga terjangkau.
Saya bukan satu-satunya yang diselamatkan oleh produk ajaib ini. Suami saya menderita sakit di lengannya untuk waktu yang lama. Jari-jarinya mengalami cedera parah, dan kemudian didiagnosis menderita radang sendi. Saya memutuskan membeli Rosel's untuk dia. Kami minum bubuk ini bersama-sama dan produknya berhasil menyembuhkan kita berdua.

Rontgen suami sebelum dan sesudah mengonsumsi Rosel's

Keadaan tangan suami saya sebelum dan sesudah mengonsumsi Rosel's
Setelah wawancara dengan Raina Adriana, wartawan kami berhasil mendapatkan komentar dari seorang ahli yang terlibat langsung dalam pengembangan dan penelitian produk bubuk satu ini. Inilah yang beliau sampaikan kepada kami:

Bapak Anwar Pratama - ahli reumatologi dengan pengalaman lebih dari 30 tahun
Rosel's adalah terobosan nyata dalam bidang medis. Penggunaan Rosel's telah diuji klinis dan terbukti melalui puluhan penelitian, hak cipta, dan bertahun-tahun uji coba. Formula inovatif Rosel's membantu mengembalikan jumlah cairan sendi dan mendukung fungsi normal sendi, menghilangkan rasa sakit dan ketidaknyamanan saat bergerak.

Tim ilmuwan yang bekerja pada pengembangan Rosel's
Bubuk mengandung bahan-bahan alami yang bertujuan untuk meningkatkan kesehatan sendi. Kombinasi sempurna antara bahan alami dan tingginya kandungan peptida kolagen dan L-glutathione menjamin hasil terbaik. Setelah mendapatkan hasil dari penelitian klinis, perusahaan kami memutuskan untuk memulai produksi massal dan menjual Rosel's di Indonesia.
Namun, tidak lama setelah itu, kami menghadapi beberapa masalah. Perusahaan farmasi besar menentang Rosel's dapat diakses oleh semua orang. Kami menyadari bahwa bagi mereka, yang penting hanya mendapatkan keuntungan, bukan membantu orang. Oleh karena itu, kami harus melawan sistem global ini. Semua karena Rosel's secara komprehensif memengaruhi tubuh dan memperkuat sistem kekebalan. Setelah menggunakannya, para penderita benar-benar dapat melupakan penyakit dan obat-obatan lain, hal ini tentu saja akan mengganggu bisnis perusahaan-perusahaan besar. Karena itu, bubuk Rosel's tidak akan dijual di toko atau apotek. Kami dengan tekad sendiri memutuskan untuk menyediakan Rosel's ke penduduk Indonesia. Yang perlu Anda lakukan hanyalah mengajukan pemesanan di situs resmi produsen.
Saya berharap yang terbaik untuk Anda, yang paling penting kesehatan! Sampai berjumpa lagi!
Para ahli juga menemukan bahwa kolagen, bahan dasar bubuk ini, dapat memperbaharui kulit, menghilangkan pigmentasi, dan membuat kulit lebih kencang. Kolagen juga memperkuat folikel rambut sehingga mencegah rontok dan menambah ketebalan rambut. Yang paling mengejutkan bagi saya adalah percepatan metabolisme yang mengakibatkan penurunan berat badan.
Post a Comment